Whatsapp

FULL ARCH IMPLANT REHABILITATION

Alan Davis, from the UK

Treatment Type

Upper Jaw: All on 4
Adjunct Procedures: 2 cc bone graft and cyst removal

TREATMENT PLAN

A full arch rehabilitation was planned for the upper jaw using the All on 4 concept. Four implants were strategically placed to maximise available bone and ensure stable anterior posterior support. Angulated posterior implants were utilised to avoid anatomical structures while achieving optimal load distribution.

During the same surgical phase, a cystic lesion in the upper jaw was carefully removed to eliminate pathology and create a healthy foundation for implant placement. A localized bone graft of 2 cc was applied to support bone volume and enhance long term implant stability.

Following implant placement, a controlled healing period was allowed to achieve complete osseointegration. After successful integration, a fixed screw retained full arch prosthesis was planned to restore function, strength, and long term reliability.

This structured approach ensured biological stability, accurate implant positioning, and predictable prosthetic outcomes.

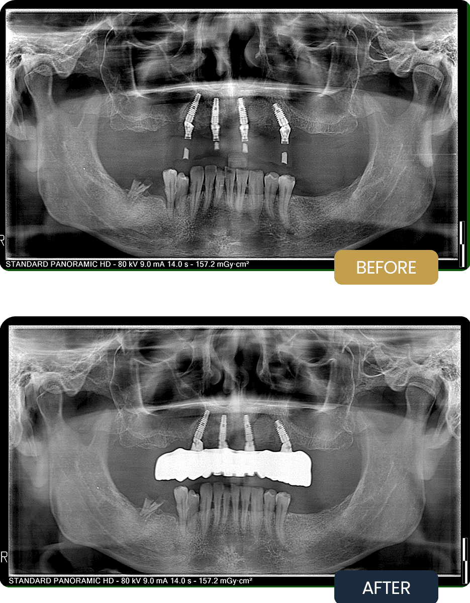
BEFORE

At initial presentation, Alan exhibited advanced tooth loss and compromised bone quality in the upper jaw, affecting both function and comfort. Radiographic assessment revealed the presence of a cystic lesion, necessitating surgical removal prior to final rehabilitation.

The pre treatment panoramic image illustrates the reduced bone support and underlying pathology that required a carefully planned surgical and restorative approach.

AFTER

Post treatment panoramic imaging confirmed successful integration of all four implants in the upper jaw following cyst removal and bone grafting. The implants demonstrated stable positioning and readiness for final prosthetic loading.

The completed rehabilitation restored chewing function, stability, and overall oral comfort, providing a durable and long term solution designed around precise surgical planning and controlled healing.