Whatsapp

Fay Green, 65, from London

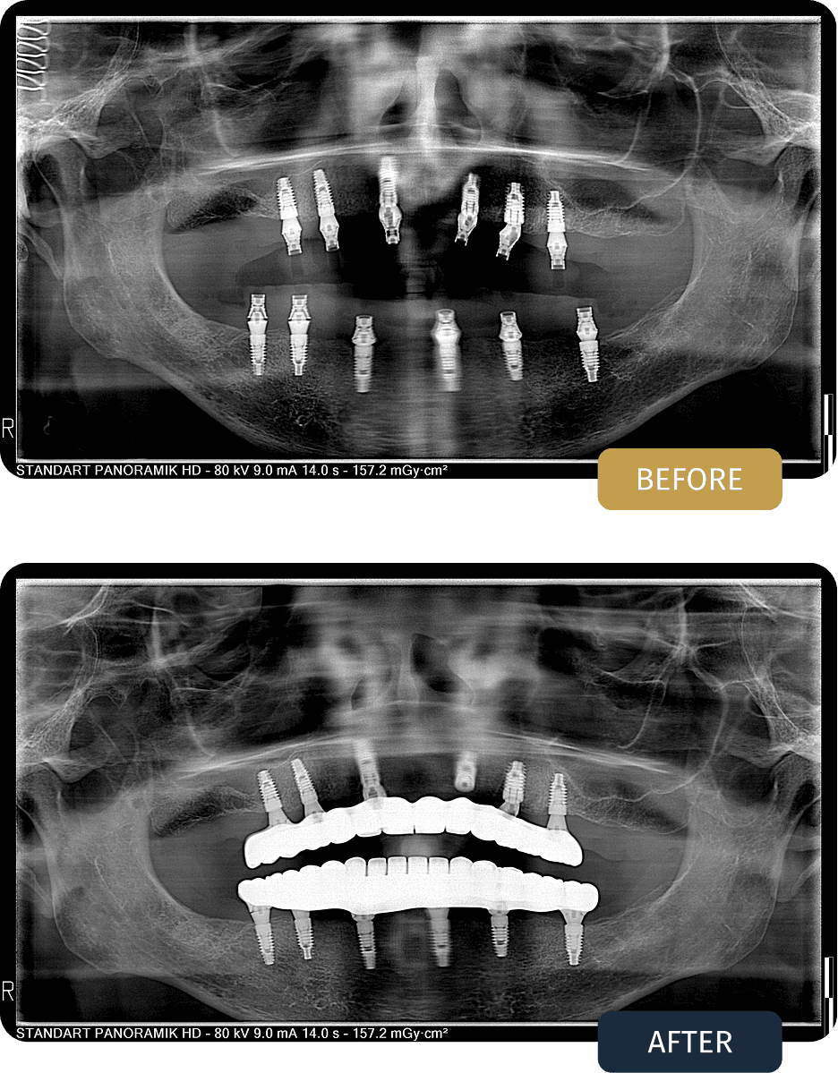
TREATMENT PLAN

Upper Jaw
• All on 6 Implant Treatment
• Titanium Bar Framework
• Closed Sinus Lifting (2 sites)

Lower Jaw
• All on 6 Implant Treatment
• Titanium Bar Framework

BEFORE

Fay, a 65 year old patient from London, contacted us seeking a fixed and reliable solution to long standing dental problems that were affecting her ability to eat comfortably and smile with confidence.

Before treatment, she experienced missing and unstable teeth, reduced chewing efficiency, and ongoing discomfort. These issues had gradually impacted her daily life, particularly when eating and speaking, leading her to look for a permanent, implant supported solution.

Clinical examination and imaging showed significant tooth loss in both jaws. In the upper jaw, reduced bone height in the posterior regions required additional surgical support to allow safe implant placement. A full arch, implant supported treatment plan was created for both jaws, including closed sinus lifting procedures where needed.

AFTER

Fay underwent full arch rehabilitation with an All on 6 implant treatment in both the upper and lower jaws. Titanium bar frameworks were used to provide maximum strength, long term stability, and even distribution of biting forces.

Two closed sinus lift procedures were performed in the upper jaw to increase bone volume and support secure implant placement without the need for open sinus surgery.

Following treatment, fixed teeth were placed to restore natural function, facial support, and aesthetics. The result was a stable, comfortable, and natural looking smile designed to improve both daily comfort and long term oral health.