TREATMENT PLAN
Upper Jaw
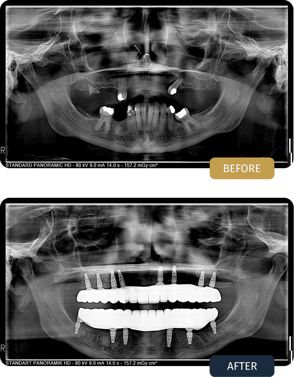
• All on 8 Implant Treatment
• Sinus Lifting Surgery
• Bone Grafting
• Titanium Bar Framework
Lower Jaw
• All on 6 Implant Treatment
• Titanium Bar Framework
Upper Jaw
• All on 8 Implant Treatment
• Sinus Lifting Surgery
• Bone Grafting
• Titanium Bar Framework
Lower Jaw
• All on 6 Implant Treatment
• Titanium Bar Framework
Laura, a 34 year old patient from Glasgow, contacted us seeking a permanent solution for long standing dental problems that had gradually affected her comfort, confidence, and daily life.
Over the years, she experienced significant tooth loss, gum deterioration, and increasing difficulty while eating. These issues caused discomfort during meals and made her feel self conscious when smiling or speaking.
Clinical examination and panoramic imaging revealed advanced bone loss in the upper jaw, with insufficient bone volume to safely place dental implants without additional surgical intervention. The sinus cavities had expanded into the implant zones, making standard implant placement impossible without sinus lifting and bone grafting procedures.
The lower jaw also showed compromised dentition, indicating the need for a full arch, implant supported solution to restore long term function and stability.
Laura underwent a comprehensive treatment plan beginning with sinus lifting surgery and bone grafting in the upper jaw. This procedure restored sufficient bone volume and created a stable foundation for secure implant placement and long term success.
After the healing and stabilization phase, an All on 8 implant treatment was performed on the upper jaw and an All on 6 implant treatment on the lower jaw. Titanium bar frameworks were used to provide maximum strength, stability, and even distribution of chewing forces.
The final fixed teeth were carefully designed to restore natural function, facial balance, and aesthetics. This allowed Laura to eat comfortably, smile confidently, and enjoy everyday life without hesitation.