Whatsapp

FULL ARCH IMPLANT REHABILITATION

Lisa Davis, 49, from the UK

Treatment Type

• Upper Jaw: All on 6 with Titanium Bar
• Lower Jaw: All on 6 with Titanium Bar

TREATMENT PLAN

A full arch, jaw specific treatment plan was designed to restore function, balance, and durability across both arches.

For both the upper and lower jaws, an All on 6 implant protocol was selected. Titanium bar supported prostheses were chosen to maximise strength, load distribution, and long term structural stability.

This approach provided a fixed solution capable of handling daily chewing forces while maintaining precise occlusion and bite alignment.

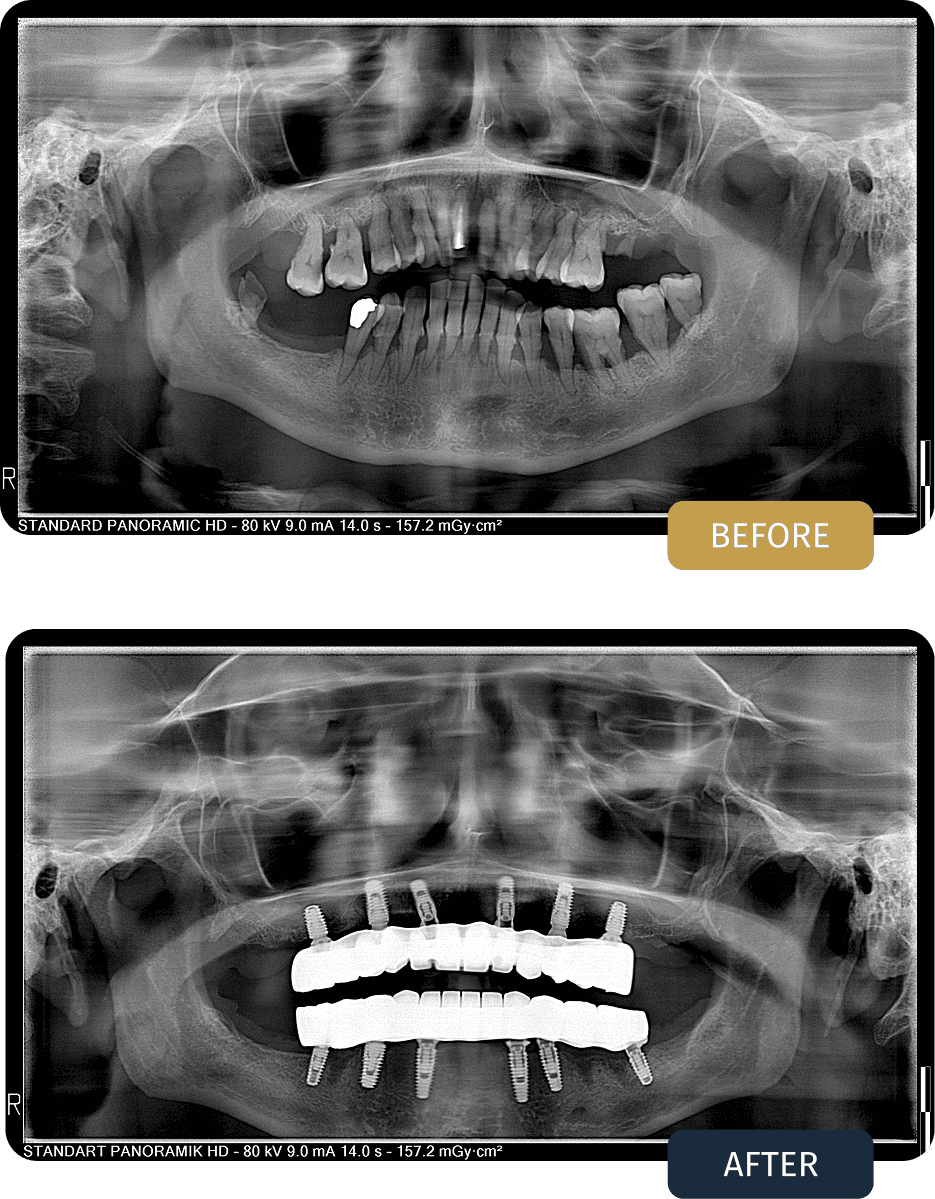
BEFORE

Lisa presented with advanced tooth loss, compromised bite stability, and progressive functional limitations affecting both jaws.

Clinical examination and panoramic imaging showed insufficient remaining dentition to support conventional restorative treatments. Bone quality and distribution indicated that a full arch implant solution was the most predictable option for long term function and stability.

Given the bilateral nature of the condition, both jaws required comprehensive rehabilitation rather than a staged or partial approach.

AFTER

Post treatment panoramic imaging confirmed stable implant placement in both jaws with well seated titanium bars and accurately fitted full arch restorations.

The final outcome delivered a fixed, balanced bite with improved chewing efficiency, comfort, and long term dental stability.