COMPREHENSIVE CROWN & IMPLANT REHABILITATION
Michael Allen, 43, from the UK
COMPREHENSIVE CROWN & IMPLANT REHABILITATION
Michael Allen, 43, from the UK
• 24 Crowns
• 1 Dental Implant
• 12 Fillings
• 1 Fibre Post Core
• 2 Tooth Extractions
A comprehensive, tooth preserving treatment plan was designed to stabilise the bite, restore function, and improve long term durability.
Two non restorable teeth were extracted, and a dental implant was placed to replace missing support and prevent future bone loss. A fibre post core was used to reinforce a structurally weakened tooth following endodontic treatment.
Twenty four crowns were placed to restore severely worn and damaged teeth, ensuring uniform load distribution and bite harmony. Twelve fillings were completed to address decay while preserving as much natural tooth structure as possible.
This approach allowed full functional rehabilitation while maintaining a conservative philosophy where teeth could be saved.
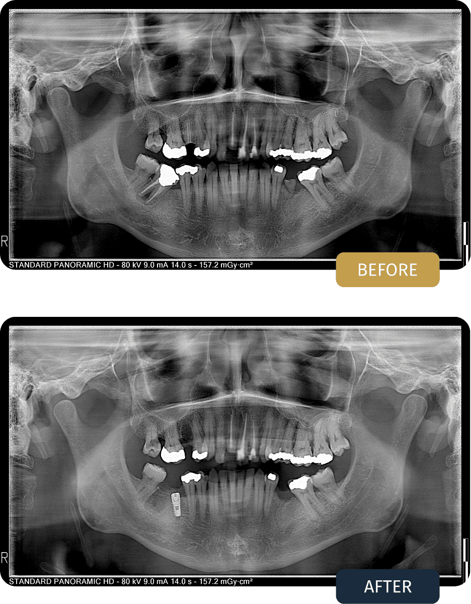
Michael presented with multiple heavily restored teeth, recurrent decay, and structurally weakened posterior teeth. Several existing restorations had reached the end of their lifespan, resulting in compromised bite stability and an increased risk of further tooth loss.
Panoramic imaging revealed widespread restorative needs across both arches, including non restorable teeth requiring extraction and areas where long term support would not be possible without implant placement.
Post treatment panoramic imaging confirmed successful implant placement, stable restorations, and a balanced occlusion across both arches.
The crowns restored proper chewing function, improved structural integrity, and provided long term protection for previously compromised teeth.