Whatsapp

IMPLANT & FULL CROWN REHABILITATION

Peter Ellis, from the UK

Treatment Type

Upper Jaw: 4 Dental implants and 2 zygomatic implants
Lower Jaw: All on 6
Adjunct Procedures: Membrane placement and bone grafting

TREATMENT PLAN

A complex full arch rehabilitation was planned for both jaws due to advanced bone loss in the upper jaw. To achieve predictable stability without extensive sinus grafting, a combined approach was selected using four conventional implants supported by two zygomatic implants anchored in the zygomatic bone.

This configuration allowed secure posterior support where native bone volume was insufficient, while maintaining optimal anterior implant positioning. Membrane placement and targeted bone grafting were performed to support soft tissue healing, protect grafted areas, and enhance long term biological stability.

In the lower jaw, a standard All on 6 protocol was applied, with six implants placed to provide balanced load distribution and strong long term support.

Following implant placement, a controlled healing period was observed to allow full osseointegration. Fixed, screw retained full arch prostheses were then fabricated and delivered to restore function, strength, and occlusal balance.

This staged and carefully planned approach enabled rehabilitation in a challenging anatomical scenario while maintaining predictability and long term durability.

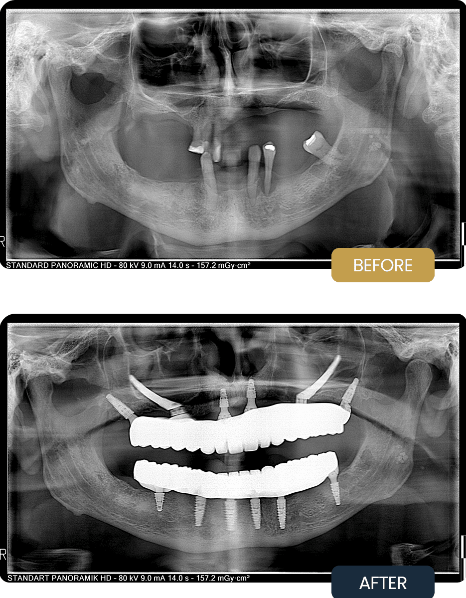
BEFORE

At initial presentation, Peter showed severe bone loss in the upper jaw, limiting the feasibility of conventional implant placement alone. Functional instability and reduced chewing efficiency were present in both jaws.

The pre treatment panoramic radiograph demonstrates the extent of bone deficiency in the upper jaw and the need for an advanced implant solution incorporating zygomatic support, along with comprehensive lower jaw rehabilitation.

AFTER

Post treatment panoramic imaging confirmed successful integration of all implants, including stable positioning of the zygomatic implants in the upper jaw and well aligned All on 6 implants in the lower jaw. Bone grafted areas and membrane supported sites showed appropriate healing conditions.

The final fixed prostheses restored strong chewing function, improved comfort, and long term stability, providing a reliable solution tailored to complex anatomical requirements and designed for predictable long term performance.